|
Oncologist
Cures Common Cold
"GRUMP" protocol causes slouging of infected
mucosa
BETHESDA, MD--A group of NIH investigators, led by
Dr. Jerry Klingfeld, today announced that they had discovered a cure for
the common cold, a disease that affects over 70 million Americans each
year. Physicians across the country hailed the announcement as a major
victory in the fight against illness.
 |
|
Normal Mucosa
|
GRUMP is the acronym for a highly toxic protocol
that includes high doses of gemcitabine, radiation therapy, uracil, mitomicin
C, and paclitaxel. Individuals treated with GRUMP tend to experience resolution
of cold symptoms within 24-48 hours, though symptoms attributable to the
chemotherapy itself, including a tendency to bleed spontaneously from
the ears, and a dark purple discoloration of the skin, may be permanent.
According to Dr. Gary Polowski, a co-investigator,
treated individuals slough off all infected mucosal surfaces, leaving
the cold virus with nowhere to live.
 |
|
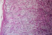
Mucosa after GRUMP protocol
|
"We create an incredibly inhospitable environment...we
have electron micrographs where it looks like the little viruses are packing
up small, suitcase-shaped proteins, and moving on out."
Klingfeld stated that the idea for the GRUMP protocol
came to him in the bathtub. "I was lying there one evening when it hit
me", he stated. "What does the cold virus infect? Mucosa! So I thought,
if we could just eliminate the mucosa, then infection becomes impossible."
"And, as an oncologist, getting rid of mucosa
is right up my alley!"
While FDA approval for the protocol may take months,
the announcement provided a glimmer of hope for cold-sufferers across
the country.
|